
Klinik güven için USG hizmetlerimiz de kullandığımız sistemlerimiz yüksek performanslı donanımlar ve gelişmiş yazılım araçlarıyla güçlendirilmiştir. Çoklu modalite aracı ile, hızlı tanıya ulaşmak için gerçek zamanlı ultrason görüntülemeyi farklı görüntüleme modaliteleriyle (MRI,CT) birleştirebilmektedir.
Ultrasonografi ya da kısaltılmış adıyla USG, ses dalgalarını kullanarak sevimli dostlarımızın vücut içerisindeki organların görünümünü değerlendirmeye yarayan bir görüntüleme yöntemidir. Ultrason, canlı görüntüler oluşturmak için yüksek frekanslı ses dalgalarını kullanarak veteriner hekimlerinin bu organların neye benzediği ve nasıl çalıştıkları hakkında fikir edinmelerine olanak tanır. Ultrason, uygun tedavinin başlatılabilmesi için sorunun nerede ve neden ortaya çıktığını keşfetmeye yardımcı olabilir. Ultrasonografik muayene alanında uzman hekimler tarafından gerçekleştirilmesi gerekmektedir.
Bazı durumlarda ultrason bulguları sonucuna göre ek testlere ihtiyaç duyulabilir. Bu, ultrasonun yararsız olduğu anlamına gelmez. Genellikle bulguların veteriner hekimi evcil hayvanın sorununu doğru şekilde çözmesi için doğru yöne yönlendirdiği anlamına gelir. Ultrason muayenesinin evcil hayvanlar için herhangi bir riski veya yan etkisi yoktur.
Ultrason çekmek için yüksek ses dalgalarını vücuda ileten bir prob/problar kullanılır. Bu probun vücut üzerinde belirli bölgelere konulmasıyla da ilgili bölgelerdeki yapıların görüntüsü elde edilir. Ultrasonda görüntü elde etmek için ses dalgaları kullanıldığından USG işleminde radyasyon riski yoktur. Bu nedenle ultrason sevimli dostlarımızda gönül rahatlığıyla kullanılabilen bir yöntemdir.
Veteriner Ultrasonografik Görüntüleme Nasıl Yapılır?
Ultrasonlar genellikle evcil hayvan masanın üzerinde yatarken yapılır. Veteriner hekimi karın derisine bir prob tutar. Prob cilt üzerinde hareket ettirildiğinde içerideki yapılara ses dalgaları gönderir ve daha sonra ekranda siyah beyaz gerçek zamanlı görüntülere dönüştürülür. Tüyler ses dalgalarının iletimini sekteye uğratacağı için evcil hayvanın karnı tıraş edilir. Ses dalgalarının iletiminin daha iyi sağlanabilmesi için alkol ve ultrason jeli kullanır. İşlem sırasında incelenen bölgeye göre hasta sırtüstü veya yan pozisyonda yatırılır.
Ultrason muayenesi sessiz ve karanlık bir odada yapılır ve ağrısız bir işlemdir. Çoğu hasta muayene sırasında stres olmadan ve minimum kısıtlamayla rahat bir şekilde yatabilir. Genellikle ultrason muayenesi sırasında anesteziye ihtiyaç yoktur. Mide ve bağırsak içeriği veya gaz varlığı diğer organların muayenesini zorlaştırabileceği için hastanın 12 saat öncesinde aç bırakılması tercih edilir. İdrar kesesinin muayenesi için ise muayeneye gelmeden önce idrarını yapmasına engel olunmalıdır.
Abdomen Ultrasonografisi Nedir?
Abdomen ultrasonografisi, evcil hayvanınızın karın bölgesindeki organlara ve yapılara bakmak için kullanılan bir teşhis aracıdır. Karaciğer, dalak, böbrekler, mesane, üreme organları, mide, pankreas, bağırsak sistemi, vasküler yapılar, adrenal bezler ve lenf düğümleri görüntülenebilir.
Abdomen Ultrasonografisinde Hangi Organlar İncelenir?
İdrar Kesesi;
İdrar kesesi iç boşluğu, içeriği, duvarı ve idrar kanalı alt ucu değerlendirilir. İdrar kesesi iç boşluğu içeriği ve idrar kesesi duvar kalınlığı değerlendirilir. İdrar kesesi içerisinde taş, kum, iltihap, pıhtı varlığı yönünden incelenir. Ultrasonografi ile İdrar yolu enfeksiyonları, ürolitiazis ve malignite yönünden hasta değerlendirilebilir.
Dişi kedi ve köpeklerde rahim ve yumurtalıklar;
Dişi genital sistem ultrason muayenesinde gebelik, östrus siklusu evreleri, yumurtalıklar, pyometra (rahim iltihabı), kistler veya tümörler yönünden incelenir. Ayrıca Ovaryan Remnant Sendromu (ORS) gibi yaygın durumların tespitinde kullanılabilir.
Erkek kedi ve köpeklerde prostat;
Erkek üreme organlarının ultrasonografik muayenesi köpeklerde kedilere göre daha sık gerçekleştirilir. Erkek üreme organlarının muayenesinin endikasyonları, damızlık köpeklerin androlojik değerlendirilmesi, kriptorşik testislerin belirlenmesi, idrar ya da dışkı yapmadaki zorluklar ve anormallikler, abdominal skrotal ve penil ağrılar, kaudal abdominal kitle lezyonları, fıtık, hormonal dengesizlikle uyumlu klinik bulgular, skrotal veya penil travmayı içerir. Benign prostatik hiperplazi (BPH), bakteriyel prostatitis, kistler veya kitleler köpeklerde en sık rastlanan prostat bozukluklarıdır.
Abdominal boşluk, lenf yumruları ve büyük damarlar;
Karın zarı yani periton karnın iç bögesinin tamamını, karaciğer, dalak, barsaklar ve üreme organlarını kaplayan, iki katmanlı bir zardır. Peritoneal kavite, iki tabaka arasında yer alan gizli bir bölmedir ve normalde kayganlaşmayı sağlayan az bir miktarda bir sıvı bulunur. Ultrasonografi bu alanlardaki boşlukların kitle, gaz veya sıvı varlığı açısından değerlendirilmesine olanak sağlar. Yavru kedi ve köpeklerde az miktarda peritoneal efüzyon (sıvı birikimi) görülebilir ancak sağlıklı yetişkin köpek ve kedilerde efüzyon görülmemelidir. Efüzyonlar enfeksiyon (Feline İnfeksiyöz Peritonitis, FIP, ) kaynaklı olabileceği gibi, travma, kanama, yangı ve neoplazi kaynaklı olabilir.
Karın boyunca yer alan abdominal lenf düğümleri belirli bölgesel organları ve alanları direne eder. Lenf yumruları abdomendeki büyük damarlarla komşudur. Lenfadenopati (lenf yumrularının büyümesi), reaktivite ve primer veya metastatik neoplaziden kaynaklanabilir. Enfeksiyonlar (Histoplasma capsulatum, FIP, vs. ), metastaztazik neoplaziler, lenfoma kaynaklı lenfadenopati gelişebilir.
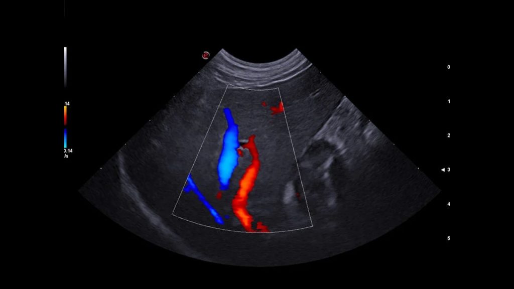
Kedi ve köpeklerde, portal sistem, caudal vena cava, aorta ve iliak damarların trombus ve embolileri ultrasonografi ile tespit edilebilir. Aortik ve iliak tromboembolizm, kedilerde kardiyomiyopatiyle birlikte ortaya çıkan önemli bir komplikasyondur. Köpeklerde Aortik ve iliak tromboembolizm, genellikle hiperkoagülasyon durumlarıyla birlikte, kardiyak hastalık ve neoplazmalarla ilişkili bir hastalık olarak ortaya çıkar. Kedi ve köpeklerde, portosistemik şantlar dışında, abdominal vasküler malformasyonlarla nadiren karşılaşılır.
Dalak;
Dalak karın duvarına bitişiktir ve baş, gövde ve kuyruk olmak üzere üç bölümden oluşur. Dalak, vücuttaki kanı depo eden bir kan rezervuarıdır. Dalak pek çok hastalıktan etkilenebilir ve ortaya çıkan klinik bulgular spesifik değildir. Dalağın ultrasonografik muayenesine gerektiren durumlar; abdominal distansiyon (karnın genişlemesi), hemoabdomen, karın muayenesinde ele gelen kitle, yine elle yapılan karın muayenesinde ele gelen büyümüş dalak, abdominal travmadır. Hasta yan ya da sırt üstü yatarak ultrason muayenesi yapılabilir.
Ultrasonografik muayene ile tespit edilebilen dalak hastalıkları; Splenitis,neoplaziler, ekstramedüller hematopoezis, splenik torsiyon, splenik ven trombozu, fokal infarkt, myelolipom, multipl myelom, distrofik mineralizasyon, hematom, apse, kitle ve nodüller.
Böbrekler;
Böbrek ultrasonografisi böbrek fonksiyonuna bağlı olmayan, hasta üzerinde bilinen herhangi bir yan etkisi olmayan, böbrek iç yapısının incelenmesine olanak sağlayan noninvazif bir görüntüleme tekniğidir. Böbreğin ultrasonografik muayenesinde, korteks, medulla ve toplayıcı kanallar görüntülenebilir. Ultrasonografi ile belirlenen böbrek uzunluğu ve hacmi köpeklerde vücut ağırlığıyla doğrusal olarak ilişkilidir. Kedilerde ise ultrasonografi ile belirlenen böbrek uzunluğu 3,0 ila 4,3 cm arasında değişmektedir.
Ultrasonograafik muayene ile tespit edilebilen böbrek hastalıkları; renal kistler, hidronefroz, perinefrik pseudokist, hematom, apse, nekrotik nodüller, tümörler, lenfoma, kronik tubulointerstisyel nefritis, etilen glikol toksisitesi, nefrolitler ve renal agenezidir.
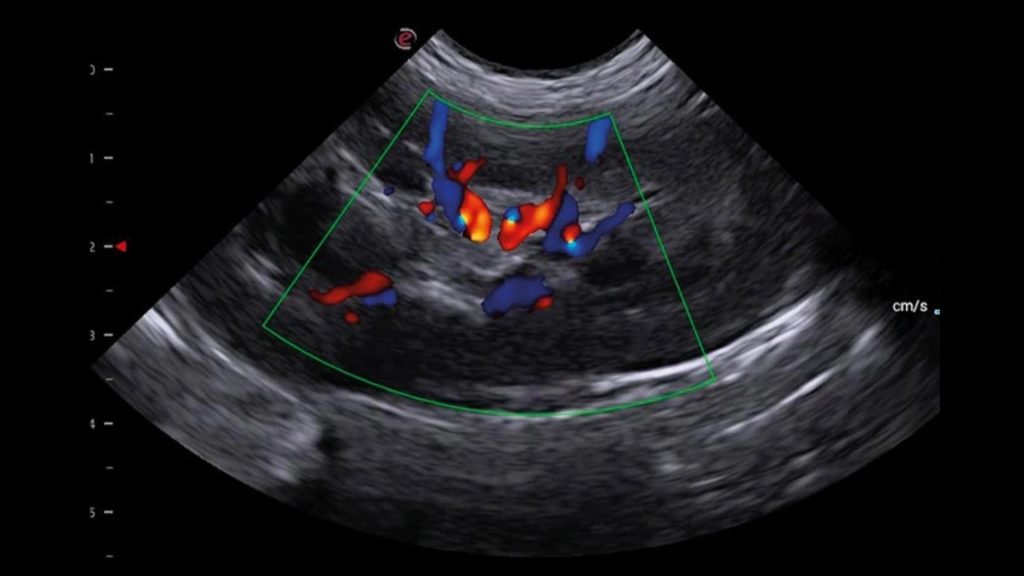
Kan akışına karşı böbrek içi direnç, dubleks Doppler ultrasonografi sırasında değerlendirilebilir ve direnç indeksinin (RI) hesaplanmasıyla değerlendirilebilir.
Böbrek üstü (Adrenal) bezleri;
Abdominal ultrasonografi, böbrek üstü (adrenal) bezlerinin büyüklüğünü ve şeklini değerlendirmek için kullanılmaktadır. Adrenal bezlerde tümör veya kalsifikasyon bulunmadığı sürece görüntülenmesi güçtür. Günümüzde ultrason cihazlarının gelişmesiyle birlikte adrenal bezlerin görüntülenmesi kolaylaşmıştır. Deneyimli ultrason operatörleri için adrenal bezlerin görüntülenmesi rutin muayenenin bir parçasıdır. Heyecanlı veya agresif hastalarda karın kaslarındaki gerginlik sebebiyle muayenesi mümkün olmayabilir. Bu tür hastalarda adrenal bezlerin muayenesi için sedasyon gerekebilir.
Cushing sendromu ve Addison hastalığının teşhisinde tek başına yeterli olmamakla birlikte adrenal bezlerin ultrasonografik muayenesi önemli bir yer tutmaktadır. Hiperadrenokortisizmli köpeklerde çift taraflı adrenal hiperplazinin bulunması ve laboratuvar bulgularının da desteğiyle teşhis konur. Adrenal bezlerin küçülmesi ise Addison hastalığı için önemli bir bulgudur fakat tek başına yeterli değildir. Köpeklerde adrenal tümörler arasında adrenokortikal adenom, karsinom, pheochromocytomas ve metastazik hastalıktan kaynaklanan tümörler bulunmaktadır. Hipertiroidizmli kedilerde hafif düzeyde adrenomegali şekillenebilir.
Mide ve barsaklar;
Gastrointestinal ultrasonografi radyografi ile birlikte mide ve barsakların incelenmesi için yapılır ancak son derece operatöre bağımlıdır. Akut abdomen, abdominal efüzyon, kusma, ishal, kilo kaybı veya nedeni bilinmeyen anoreksi olan hayvanlarda ve ayrıca karında kitle, şişkinlik veya ağrısı olan hayvanlarda sıklıkla faydalanılır. Akut abdomenli bir hayvanın ameliyat gerektirip gerektirmediğini belirlemek için ultrasonografi genellikle radyografiden daha belirleyicidir.
Ultrasonografi muayenesi öncesi artefaktları önlemek amacıyla hastanın 6-12 saat aç bırakılması gerekmektedir. Mide ve barsakların ultrasonografisi, yabancı cisimler, invaginasyon (barsak düğümlenmesi), mide ve barsak duvar kalınlaşması, yangısal hastalıklar, tümörler, intestinal ve gastrik lenfoma, adenokarsinom, leiomyom ve kolon karsinomunun teşhisinde kullanılabilir.
Pankreas;
Kedi ve köpeklerde pankreasın ultrasonografisi, pankreas hastalıklarının teşhisinde önemli bir yer tutmaktadır. Ultrason ile pankreasın boyutu ve yapısı değerlendirilmektedir. Ultrasonografi pankreatitis, pankreatik neoplazisi, kistler ayrıca ekstra hepatik biliyer obstrüksiyonların teşhisi için yapılabilmektedir.
Karaciğer;
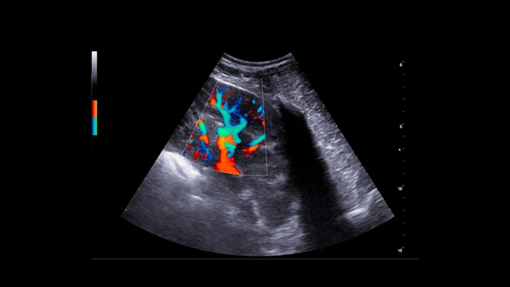
Karaciğer ultrasonografisinde, hepatik parankim (karaciğer dokusu), büyük hepatik ve portal damarlar, bitişiğinde caudal vena cava ve safra kesesi ve bilier sistem incelenir. Radyografiden farklı olarak ultrasonografi, hedef yapıların çeşitli düzlemlerden görüntülenmesine olanak sağlar. Karaciğerin ultrasonografik muayenesi sırasında hekimin tercihine göre hasta sağ yan, sol yan veya sırt üstü pozisyonlarında yatabilir. Daha iyi görüntü alınabilmesi için karın bölgesi göğüs bölgesine kadar tıraşlanıp temizlenmelidir. Görüntü kalitesini hastanın vücut yapısı, karaciğerin boyutu ve gastrointestinal içerik etkileyebilir. Mide içeriğindeki gaz iyi bir karaciğer görüntülemesinin önündeki en önemli engeldir. Bu sebeple hastanın aç olarak muayene getirilmesi tercih edilir. Karaciğer ultrasonografisine ihtiyaç duyulan durumlar, karaciğer hastalıklarıyla ilişkili klinik belirtiler (kusma, ishal, abdomende genişleme, abdomenin elle muayenesinde karaciğer boyutunun arttığının farkedilmesi vs.), laboratuvar analizlerinde biyokimyasal değişiklikler (ALT, ALP, AST, NH3, GGT, BİLİRUBİN, TOTAL PROTEİN, ALBUMIN), ikterus (sarılık), hepatomegali, asites, akut abdomen veya abdominal kitle şüphesi, metastatik kitle şüphesi, hepatik enseflaopati, immun sistem hastalıklarını içermektedir. Hepatik arterleri ve intrahepatik dallarını görüntülemek için Doppler muayenesi gereklidir. Doppler ultrasonografi ile hepatik arter, portal ven ve caudal vena cava incelenebilir. Konjenital veya edinsel Portasistemik Şantla (PSŞ) ilişkili klinik veya laboratuvar belirtileri olan hayvanlarda intrahepatik veya ekstrahepatik anormal damarlar da saptanabilir. Doppler görüntüleme ile aynı zamanda intrahepatik portal hipertansiyonun da tanısı konulabilmektedir.
Safra kesesi;
Ultrasonografi, veteriner hekimlikte safra kesesi hastalığının teşhisinde en sık kullanılan tanısal görüntüleme aracıdır. Safra kesesi ve safra sisteminin muayenesi, karaciğer ve çevresindeki karın anatomisinin rutin ultrasonografik incelemesinin bir parçası olarak dahil edilmelidir. Safra kesesi muayenesi ve hasta hazırlığı endikasyonları karaciğer için açıklananlarla aynıdır. Safra kesesi safra için bir rezervuar görevi görür ve çoğu hastada orta hattın hemen sağında yer alan, yuvarlak/oval ila gözyaşı damlası şekilli bir yapı olarak görünür. Bazı kedilerde safra kesesi iki loblu olabilir. Safra kesesinin boyutu değişkendir ve hayvanın ne zaman beslendiğine bağlı olarak değişebilir. Yemekten sonra safra kesesinin kasılmasına neden olan enzimler salgılanır. Anoreksik veya aç hastalarda safra kesesinin hacmi artar. Safra kesesi lumeni, değişen miktarda safra çamuru (sediment) içerebilir. Safra çamurunun varlığı, safra kesesinin boşalmasının geciktiğini gösterebilir ve kedilerde karaciğer enzimlerindeki artışın göstergesi olabilir. Safra kesesi duvar kalınlığındaki artışın pek çok sebebi olabilir. Bunlar kolesistit/kolanjiohepatit, hepatit veya pankreatit gibi çevredeki anatominin iltihaplanması, hipoproteinemi, sağ taraflı konjestif kalp yetmezliği, portal hipertansiyon veya safra yolu tıkanıklığının neden olduğu duvar ödemi, kistik hiperplazi, safra kesesi polipleri, ve neoplazilerdir.
Veteriner hekimlerimize ve sevimli dostlarımıza merkezimiz bünyesinde vermiş olduğumuz Veteriner USG hizmetimizde Esaote MyLAB X8VET Üst Düzey Renkli Doppler Ultrasonografi Cihazı ile hizmet vermekteyiz. Cihaz ile yapılan sonografik ve doppler çalışmalarında her türlü patolojilerde yüksek çözünürlükte görüntüleme imkanı sağlanmaktadır. İçerdiği yazılımlar ile tanıyı detaylandırarak teşhise götüren götürmeye yardımcı olmaktadır. Çoklu modalite aracı ile, hızlı bir tanıya ulaşmak için gerçek zamanlı ultrason görüntülemeyi çok çeşitli ikinci görüntüleme modaliteleriyle (MRI, CT, 3D Görüntüleme, Doppler) birleştirmek mümkündür.
USG cihazlarının Veteriner amaçlı kullanılmasına Veteriner USG denir.









