ULTRASONOGRAFİ (USG)

Ultrasonografi (USG), yüksek frekanslı ses dalgaları kullanılarak sevimli dostlarımızın vücudu içerisindeki organ ve dokuların gerçek zamanlı olarak görüntülenmesini sağlayan güvenli bir tanı yöntemidir. Ultrason, organların yapısı ve işleyişi hakkında bilgi sunarak, veteriner hekimlerin hastalığın nerede ve neden oluştuğunu değerlendirmesine ve uygun tedavi planının oluşturulmasına yardımcı olur.

USG incelemesinin tanısal değeri, büyük ölçüde deneyimli hekim tarafından uygulanmasına ve doğru endikasyonla planlanmasına bağlıdır.

Ultrasonun Avantajları

  • Radyasyon içermez: Ses dalgaları ile çalıştığı için radyasyon riski yoktur.
  • Ağrısız ve güvenlidir: Genellikle yan etki oluşturmaz.
  • Gerçek zamanlı görüntü verir: Organ hareketleri ve kan akımı değerlendirilebilir.
  • Tanıyı yönlendirir: Bazı durumlarda ek testlere ihtiyaç duyulması, ultrasonun yetersiz olduğu anlamına gelmez; çoğu zaman doğru yöne yönlendirdiğini gösterir.

USG Nasıl Yapılır?

USG incelemesi genellikle evcil hayvan masada yatarken yapılır. Veteriner hekim, incelenecek bölgeye ultrason probunu yerleştirir ve probun hareketiyle ses dalgaları dokulara gönderilerek ekranda siyah-beyaz gerçek zamanlı görüntüler elde edilir.

Görüntü kalitesini artırmak için:

  • İncelenecek bölgedeki tüyler, ses dalgası iletimini engelleyebileceği için kısmen tıraş edilebilir.
  • Ses iletimini artırmak amacıyla alkol ve ultrason jeli kullanılır.
  • İnceleme bölgesine göre hasta sırtüstü veya yan pozisyonda yatırılır.

USG genellikle sessiz ve loş bir ortamda yapılır. İşlem ağrısızdır ve çoğu hasta minimum kısıtlama ile rahatça muayene edilebilir.

Anestezi Gerekir mi?

Çoğu ultrason incelemesi için anestezi gerekmez. Ancak bazı hastalarda stres, ağrı, agresyon veya hedef organın görüntülenmesini zorlaştıran durumlar nedeniyle sedasyon gerekebilir.

Çekim Öncesi Hazırlık

  • Abdominal USG için: Mide ve bağırsak içeriği/gaz görüntülemeyi zorlaştırabileceğinden hastanın 6–12 saat aç olması tercih edilir.
  • Mesane (idrar kesesi) değerlendirmesi için: Muayene öncesinde idrar yapmasının engellenmesi gerekebilir (hekim yönlendirmesi ile).

ABDOMEN ULTRASONOGRAFİSİ

Abdomen ultrasonografisi, karın bölgesindeki organ ve yapıların değerlendirilmesinde kullanılan temel görüntüleme yöntemlerinden biridir. Aşağıdaki yapılar incelenebilir:

  • Karaciğer ve safra sistemi
  • Dalak
  • Böbrekler ve idrar kesesi
  • Üreme organları (rahim-yumurtalık / prostat)
  • Mide ve bağırsak sistemi
  • Pankreas
  • Adrenal (böbreküstü) bezler
  • Lenf düğümleri
  • Büyük damarlar ve abdominal boşluk (sıvı/kitle değerlendirmesi)

Abdomen USG’de Sık Değerlendirilen Yapılar

İdrar Kesesi ve Üriner Sistem

İdrar kesesi lümeni, duvarı ve içeriği değerlendirilir.

  • Taş/kum, pıhtı, iltihabi içerik
  • Üriner sistem enfeksiyonları, ürolitiazis ve malignite şüphesi gibi durumlar incelenebilir.

Dişi Üreme Sistemi (Rahim – Yumurtalıklar)

  • Gebelik değerlendirmesi
  • Östrus döngüsü evreleri
  • Pyometra (rahim iltihabı), kist ve tümör şüphesi
  • Ovaryan Remnant Sendromu (ORS) gibi durumların değerlendirilmesi

Erkek Üreme Sistemi (Prostat)

  • Benign prostat hiperplazisi (BPH)
  • Prostatitis
  • Kist/kitle değerlendirmesi
  • İdrar/dışkılama zorluğu, kaudal abdominal kitle şüphesi, kriptorşid testis araştırması gibi endikasyonlarda kullanılabilir.

Abdominal Boşluk – Lenf Düğümleri – Büyük Damarlar

  • Karın boşluğunda sıvı birikimi (efüzyon), gaz veya kitle varlığı
  • Lenf düğümlerinde büyüme (reaktif/enfeksiyöz/neoplastik nedenler)
  • Büyük damarlarda trombüs/emboli şüphesi gibi vasküler değerlendirmeler
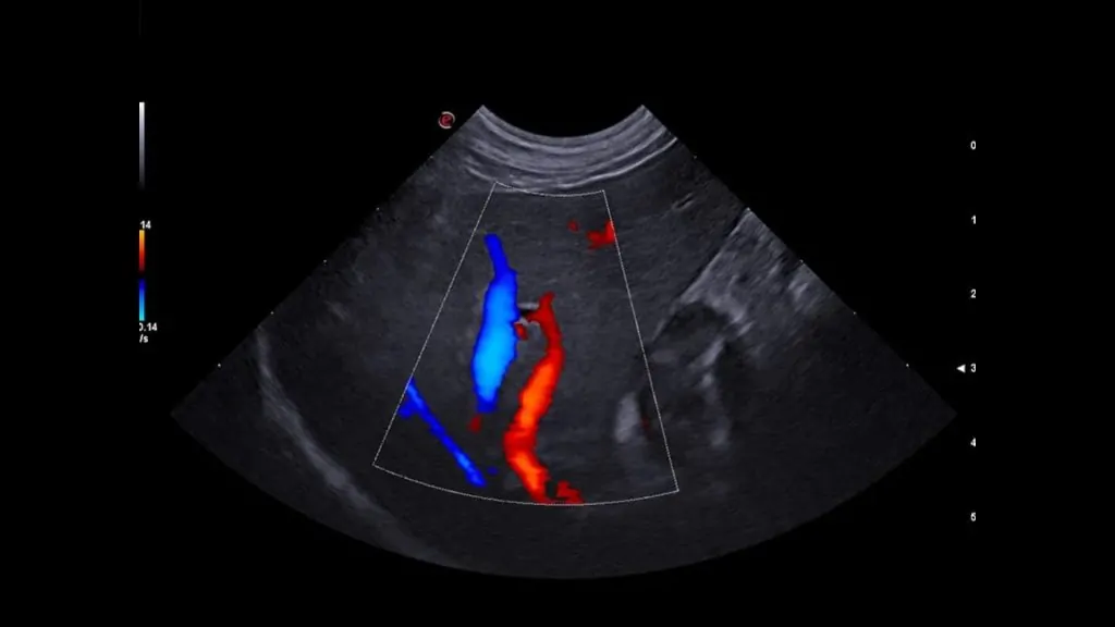
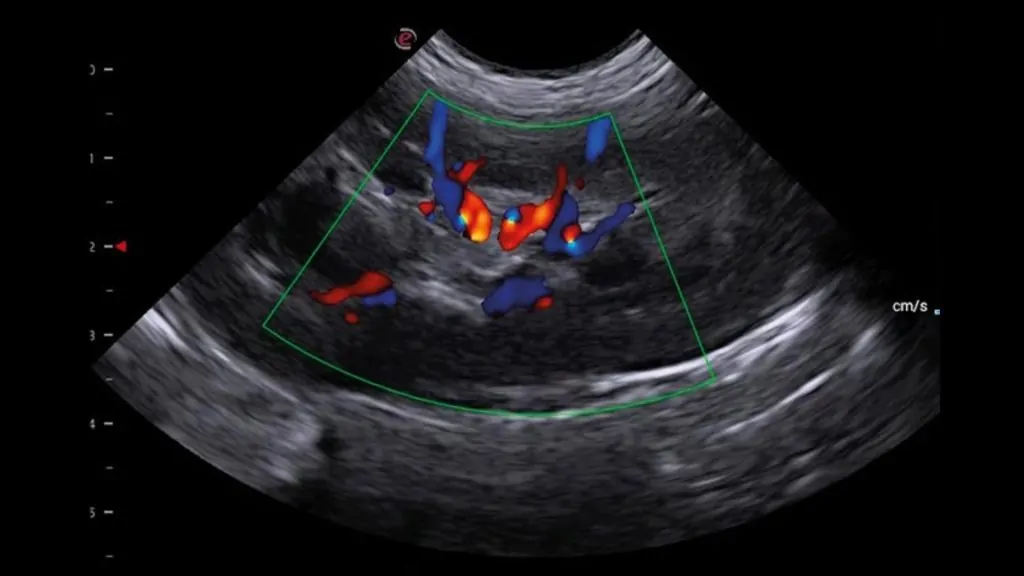
  • Gerekli görülen durumlarda Doppler USG ile kan akımı analizi yapılabilir.

Dalak

Dalak; hematom, torsiyon, inflamasyon, nodül/kitle ve neoplazi gibi durumlarda değerlendirilir. Klinik bulgular çoğu zaman spesifik olmadığından görüntüleme tanıda önemlidir.

Böbrekler

Böbrek korteks-medulla yapısı, toplayıcı sistem ve olası kistik/obstrüktif lezyonlar değerlendirilir.
Gerekli durumlarda Doppler ile direnç indeksi gibi parametreler incelenebilir.

Adrenal (Böbreküstü) Bezler

Adrenal bezler bazı endokrin hastalıklarda (Cushing/Addison şüphesi gibi) destekleyici değerlendirme sağlar. Deneyimli operatör ile rutin muayenenin parçası olabilir; bazı hastalarda sedasyon gerekebilir.

Mide ve Bağırsaklar

Yabancı cisim, invaginasyon, duvar kalınlaşması, inflamatuvar hastalıklar ve bazı tümöral süreçlerin değerlendirilmesinde kullanılabilir. İnceleme öncesi açlık genellikle önerilir.

Pankreas

Pankreatit, kist/kitle süreçleri ve biliyer obstrüksiyon şüphesinde değerlidir.

Karaciğer ve Safra Kesesi

Karaciğer parankimi, portal/hepatik damarlar, safra kesesi ve biliyer sistem değerlendirilir.
Gerekli durumlarda Doppler ile vasküler yapıların analizi yapılabilir; portosistemik şant şüphesinde yönlendirici olabilir.

Teknik Altyapımız

Merkezimizde, veteriner kullanımı için üst düzey teknik özelliklere sahip renkli Doppler ultrasonografi sistemi ile hizmet verilmektedir. Cihaz altyapımız; gerçek zamanlı görüntüleme, Doppler kan akımı analizi ve yüksek çözünürlüklü değerlendirme imkânı sunarak birçok patolojinin tanısında hekimlerimize güçlü bir klinik destek sağlar.

Veteriner amaçlı kullanım için optimize edilmiş ultrasonografi sistemleri ile gerçekleştirilen bu incelemeler Veteriner USG olarak adlandırılmaktadır.

Randevu Alın